Attualità
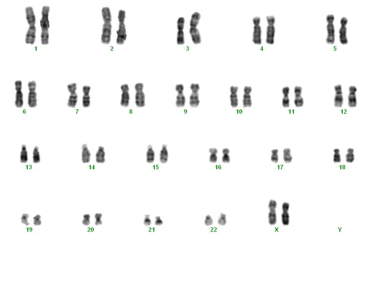
Will my embryos be abnormal again in the next cycle? IB Research presented to the SEF 2016.
Embryonic aneuploidy is one of the main causes of failure in IVF techniques and for that reason Comprehensive Chromosome Screening (CCS) of the embryo is a useful tool for improving success rates in IVF cycles.
Clinical study on the risks of chromosomally abnormal embryos in very young mothers
We tend to think that only older mothers pose issues in terms of embryo genetics. However, we have discovered that it is an issue that can also come to the fore in women under 22 years of age and that it later stabilises from 23 years of age.
New IB Newsletter: Start studying your reproductive health and plan your future
The new Instituto Bernabeu Group newsletter is now available, dedicated to our last achievements on research & development.
Will my embryos also be abnormal in the next cycle? IB research for ESHRE, 2016.
The team at IB BIOTECH has carried out a comparative study on chromosomal abnormalities in embryos from a given couple over different cycles. The conclusions obtained in terms of genetics will be presented in ESHRE, the most important of all congresses for reproductive medicine specialists, and which is due to be held in Helsinki.